Ongoing Clinical Challenges: Defining Immunotherapy Benefit for Patients With NSCLC and Poor Performance Status
This article is the first in a two-part series on ongoing challenges using immunotherapy in special populations. The second part of this series focuses on elderly...
PACIFIC Trial Leads to Durvalumab Approval in United States
The U.S. Food and Drug Administration approved durvalumab on February 16, 2018, for the treatment of patients with stage III NSCLC whose tumors are...
The CRISPR-Cas9 Toolkit: Moving From Bench to Bedside
Posted: June 2017
By Cynthia L. Kryder, MS
Decades of immunology research have shown that it is possible to harness the power of the immune system...
Ongoing Immunotherapy Challenges Part II: Defining Benefit for Elderly Patients With NSCLC
This article is the second in a two-part series on ongoing challenges using immunotherapy in special populations. The first part of this series focused on...
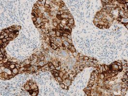
PD-L1 IHC Blueprint Project: Ongoing Progress Toward Consistency Among Assays
By Fred R. Hirsch, MD, PhD
Posted: April 2018
Immunotherapy is a very encouraging development in the treatment of patients with lung cancer. At this phase of...
AACR 2018: First-Line Management of Advanced NSCLC Enters New Era
By Corey Langer, MD, IASLC Lung Cancer News Editor
Posted: June 2018
The therapeutic landscape irrevocably altered on April 17, 2018, when three pivotal trials—KEYNOTE 189,...
Timing of Immune Checkpoint Inhibitors With Respect to Molecular Testing in NSCLC
By Maria Antonia Velez, MD; Nanruoyi Zhou, BA; Brian Henick, MD; and Aaron Lisberg, MD
Posted: August 19, 2020
Immune checkpoint inhibitors (CPIs) have revolutionized the...
KEYNOTE-042: No Hard and Fast Rules for First-Line Pembrolizumab Regarding PD-L1–Positive Disease
By Kara Nyberg, PhD
Posted: August 2018
The pace of research focused on new therapies for advanced NSCLC has progressed from a trot to a sprint...
Explaining IMpower132: An Interview with Dr. Vassiliki A. Papadimitrakopoulou
Posted: December 2018
In the following interview, Vassiliki A. Papadimitrakopoulou, MD, Jay and Lori Eisenberg Distinguished Professor of Medicine and section chief of Thoracic Medical...
Immunotherapy Adverse-Event Treatment Resource Guide
The Nurse and Allied Health Professionals Committee, which consist of clinicians and researchers from around the world, identified the need for an evidence-based guideline...


















